فیبروم رحم در واقع همان تودههای غیرسرطانی و خوشخیمی هستند که در لایههای عضلانی رحم رشد میکنند. همچنین این بیماری با نام میوم یا لیومیوم هم شناخته میشود. این تومورهای شایعترین تومورهای لگنی در بین زنان هستند که اندازههای مختلفی دارند. اغلب اوقات این فیبرومها در بازه سنی ۲۰ تا ۵۰ سالگی دیده میشوند و دلیل آن هم ترشح زیاد هورمون استروژن در این سنین است. نکتهای که باید به آن دقت کنید این است که در بیشتر مواقع فیبرومهای رحمی نیازی به درمان ندارند، مگر در مواقعی که بیش از اندازه بزرگ شده باشند یا علائم فرد شدید باشد. در ادامه این مطلب ما بیشتر در مورد علت به وجود آمدن فیبرومها، تشخیص و راهکارهای درمانی آنها صحبت میکنیم.
فیبروم رحم چیست؟
همانطور که میدانید رحم بخش اصلی دستگاه تناسلی زنان است که یک اندام گلابی شکل وارونه در لگن زنان است. به علاوه اینکه رحم محل رشد و نمو نوزاد در دوران بارداری است.
فیبروم رحم یا بیماری لیوم بافتی است که از ماهیچه و بافتهای همبند دیواره رحم تشکیل شده است. این تودهها بیشتر مواقع خوشخیم بوده و سرطانی نیستند.
دقت کنید که فیبرومها میتوانند شبیه به خوشه باشند یا تنها به صورت یک گره تنها رشد کنند. همچنین فیبرومها اندازههای مختلفی دارند، از ۱ میلیمتر گرفته تا حتی ۲۰ سانتیمتر.
این تودهها در قسمتهای مختلف رحم رشد میکنند، از جمله دیواره رحم، داخل حفره اصلی اندام یا حتی در سطح بیرونی اندام.
انواع مختلف فیبروم رحم کداماند؟
فیبرومها با توجه به محلی که رشد میکنند انواع مختلفی دارند. رایجترین این تودهها فیبرومهای داخل عضله رحم هستند که به آنها اینترامورال گفته میشود.
نوع دیگری که به شکل برجسته در خارج رحم رشد میکند ساب سروزال نام دارد.
علاوه بر این دو مدل یک مدل نایابتر هم از فیبرومها وجود دارد که در داخل حفره رحم رشد میکند و با نام فیبروم زیر مخاطی شناخته میشود.
علت به وجود آمدن فیبروم رحم چیست؟
آیا میدانید چه عواملی احتمال ابتلا به فیبروم رحمی در زنان را تشدید میکند؟ با اینکه هنوز علت اصلی شکلگیری فیبرومها مشخص نیست اما محققین و پزشکان برخی فاکتورها را بهانهای برای شکلگیری این تودهها میدانند.
به طور کلی یکی از علل اصلی این بیماری هورمون استروژن است. زمانی که زنان در دوران بارداری هستند سطح هورمون استروژن و پروژسترون آنها دائما در حال تغییر است. زمانی که میزان این هورمونها بالا و پایین باشد تومورها شکل میگیرند و متورم میشوند.
علائم و نشانههای وجود فیبروم رحم کداماند؟
لیومهای رحمی به ندرت علائمی از خود نشان میدهند. اما زمانی که شرایط وخیم باشد یا فیبرومها بیش از اندازه بزرگ شده باشند فرد ممکن است خونریزی واژینال را تجربه کند که یکی از نشانههای شایع ابتلا به این تودهها است. از دیگر علائم این بیماری میتوان به موارد زیر اشاره کرد:
- کم خونی
- فرد دائما احساس خستگی و ضعف دارد
- رابطه جنسی دردناک است
- درد، خونریزی واژینال و ترشح از واژن
- احساس فشار در شکم
- مشکلات ادراری مانند عفونت ادرار و تکرر ادرار
- مشکلات مختلف بارداری
- احساس درد در لگن
- گرفتگیهای شدید در دوران قاعدگی
- طول کشیدن بیش از اندازه دوران قاعدگی
- تورم یا بزرگ شدن شکم
چه کسانی به فیبروم رحم مبتلا میشوند؟
تحقیقات نشان داده است که حدود ۸۰ درصد زنان تا سنین ۵۰ سالگی درگیر این بیماری میشوند. البته جدای از این آمار برخی فاکتورها هستند که احتمال بروز بیماری را افزایش میدهند. از جمله موارد زیر:
- استرس شدید
- کمبود ویتامین D در بدن
- مصرف زیاد گوشت قرمز
- مصرف الکل و آبجو
- زنانی که اضافه وزن شدید دارند
- زنانی که بالای ۳۰ سال سن دارند
- زنانی که یائسگی دیررس دارند
- افرادی که در سنین پایین پریود میشوند
- افرادی که سابقه فیبروم رحمی در خانواده دارند
- تغییرات ژنتیکی میتواند سبب رشد فیبرومها شود
- کمبود هورمون پروژسترون منجر به تشدید علائم رشد فیبروم میشود
- زنان باردار یا به طور کلی زنانی که در طول زندگی باردار میشوند
چه زمانی باید به پزشک مراجعه کنید؟
بیماری لیوم یکی از شایعترین بیماریهایی است که زنان درگیر آن میشوند. از آن جایی که اغلب اوقات فیبرومها علائمی دارند تشخیص اینکه چه زمانی باید به پزشک مراجعه کنید کار دشواری است. اما در برخی دیگر از موارد این تودهها علائم مشخصی دارند که درد و خونریزی از ابتداییترین نشانهها برای مراجعه به پزشک هستند. نگران نباشید، فیبرومها قابل درمان هستند و در بیشتر مواقع میتوان آنها را با دارو کنترل کرد. تنها در صورتی که این تودهها وخیم باشند از جراحی استفاده میشود.
اگر به دنبال بهترین پروفسور زنان و زایمان در تهران هستید سری به سایت درمانکده بزنید.
تشخیص فیبروم رحم
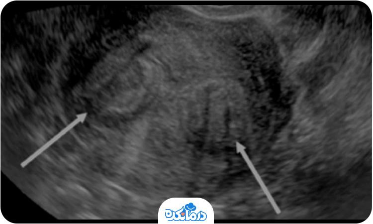
برای تشخیص بیماری حتما باید به پزشک مراجعه کنید. دقت کنید که معاینه، بررسی وضعیت بیمار، اندازه و شکل رحم همگی بخشی از فرآیند تشخیص هستند. از شایعترین روشهای تشخیص این بیماری میتوانیم به سونوگرافی، هیستروسکوپی، لاپاراسکوپی و امآرآی لگن اشاره کنیم. همچنین در صورت نیاز پزشک از سونوگرافی ترانسواژینال هم کمک میگیرد.
راهکارهای درمان فیبروم رحم
راهکارهای درمانی متعددی برای درمان و کنترل این بیماری در دسترس هستند. از متداولترین این روشها میتوانیم به دارو درمانی و جراحی اشاره کنیم.
دارو درمانی روش غیر تهاجمی برای کنترل این بیماری است. با استفاده از دارو درمانی پزشکان سعی میکنند با بهوجود آوردن شرایط یائسگی کاذب به کوچک شدن تودهها و تنظیم هورمونها کمک کنند.
در طرف دیگر ماجرا جراحی را داریم. در صورتی که فیبرومها بزرگ یا بدخیم باشند پزشک به کمک جراحی توده را از بدن خارج میکنند. همچنین گاهی اوقات نیاز است که رحم و دهانه رحم را بردارند. از طرفی در صورتی که شرایط بیمار وخیم باشد لولههای فالوپ و تخمدانها نیز برداشته میشوند. همه اینها به شدت بیماری و وضعیت بیمار بستگی دارد.

سخن پایانی
همانطور که دیدید بیماری لیوم یکی از شایعترین بیماریها در بین زنان است که عموما در سنین بارداری و یائسگی اتفاق میافتد. یکی از اصلیترین عوارض این بیماری خونریزی مداوم و شدید است که میتواند منجر به کمخونی در زنان شود. به یاد داشته باشید که در صورت تجربه علائم شدید حتما باید به پزشک مراجعه کنید. اگر در این زمینه به اطلاعات بیشتری نیاز دارید سری به سایت درمانکده بزنید. درمانکده علاوه بر داشتن مجله پزشکی بروز، دارای لیست کاملی از متخصصین است که راه ارتباطی با آنها را در اختیارتان قرار میدهد. از دکتر روماتولوژی گرفته تا بهترین متخصص زنان و زایمان. همچنین شما میتوانید در صورت امکان و تمایل از پزشک مورد نظرتان مشاوره آنلاین صوتی، تصویری و متنی دریافت کنید.


